Restauration de mon fergi TE 18530 de 1947

...selon l'avis totalement subjectif du webmaster...mais aussi selon les recommandations du Forum
Attention : ne pas créer de nouveaux posts ici. Merci

Re: Ma presentation et restoration de mon fergi TE 18530 de

Message par Massey 37 » 16 Mars 2021, 08:36

Bonjour Nico,

On peut comprendre, merci d'avoir donné des nouvelles, bon courage et à bientôt pour la mécanique.
Massey 37
Expert
 
Message(s) : 853
Inscription : 04 Sep 2015, 19:03

Re: Ma presentation et restoration de mon fergi TE 18530 de

Message par webmaster » 17 Mars 2021, 11:46

effectivement !!! gaffe sur la route avec la fatigue !
Avatar de l’utilisateur
webmaster
Site Admin
 
Message(s) : 1358211
Inscription : 15 Déc 2004, 17:39
Localisation : PARTOUT ;-) Tracteur : ex : TEF20 1957 new : MF 235 1978 & MCormick 326D 1965

Re: Ma presentation et restoration de mon fergi TE 18530 de

Message par Fabrice ff30 » 17 Mars 2021, 15:24

Salut Nico

je pense que tu dors un peu trop tout de même, c'est pour cela que tu n'as pas assez d'énergie pour bricoler sur ton tracteur :roll: :lol:
Avatar de l’utilisateur
Fabrice ff30
Wikitractor, le JP du Sud !
 
Message(s) : 5899
Inscription : 18 Avr 2007, 11:57
Localisation : Bdr

Re: Ma presentation et restoration de mon fergi TE 18530 de

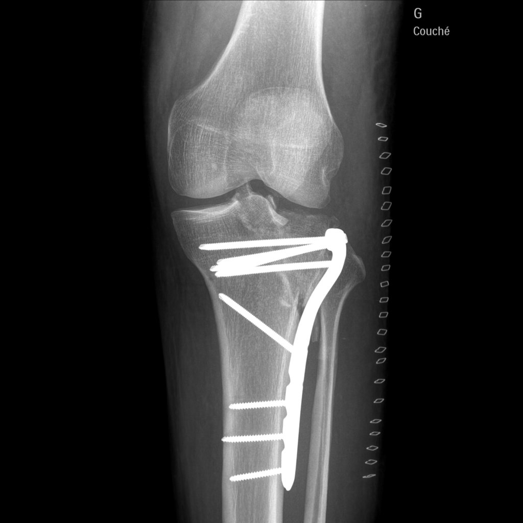
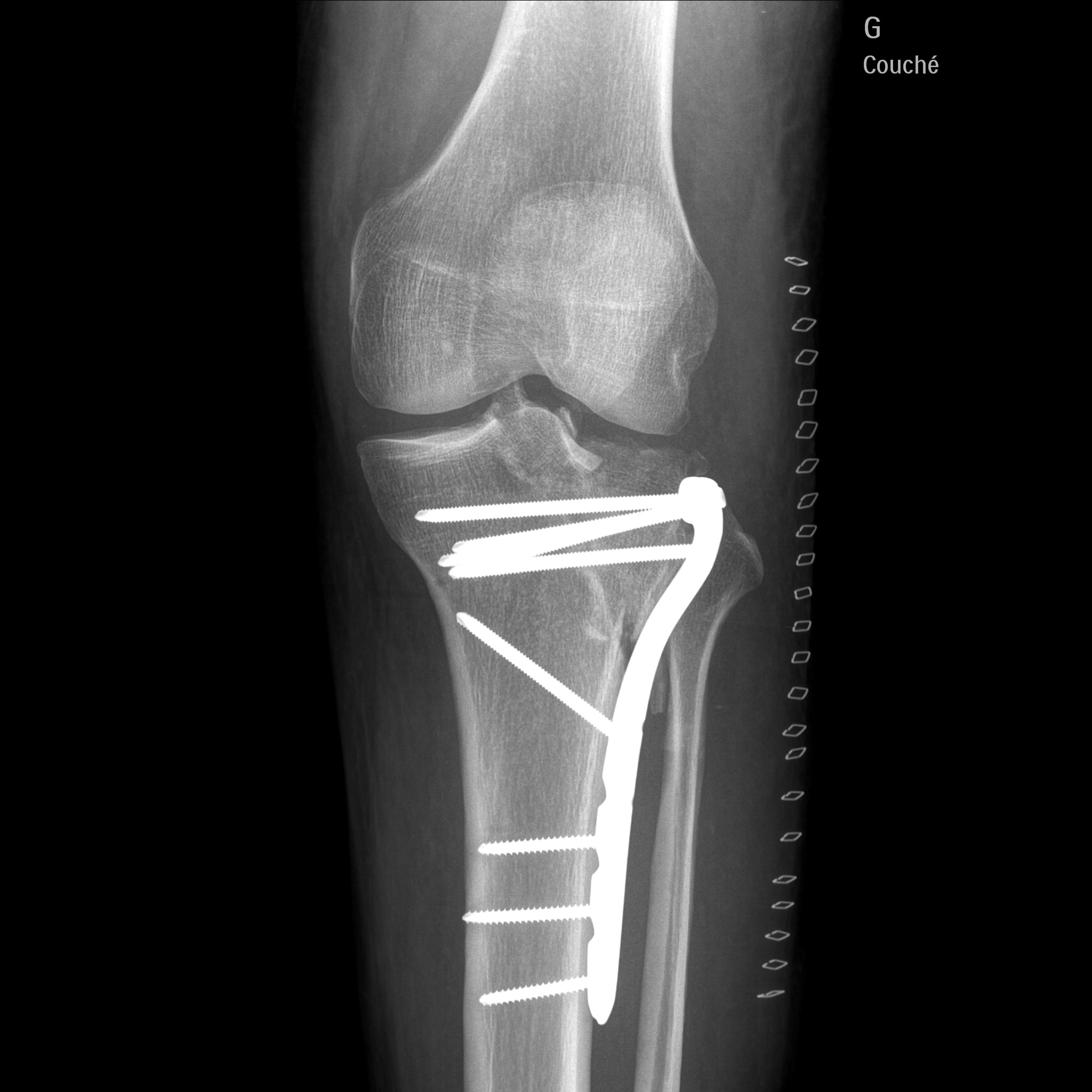
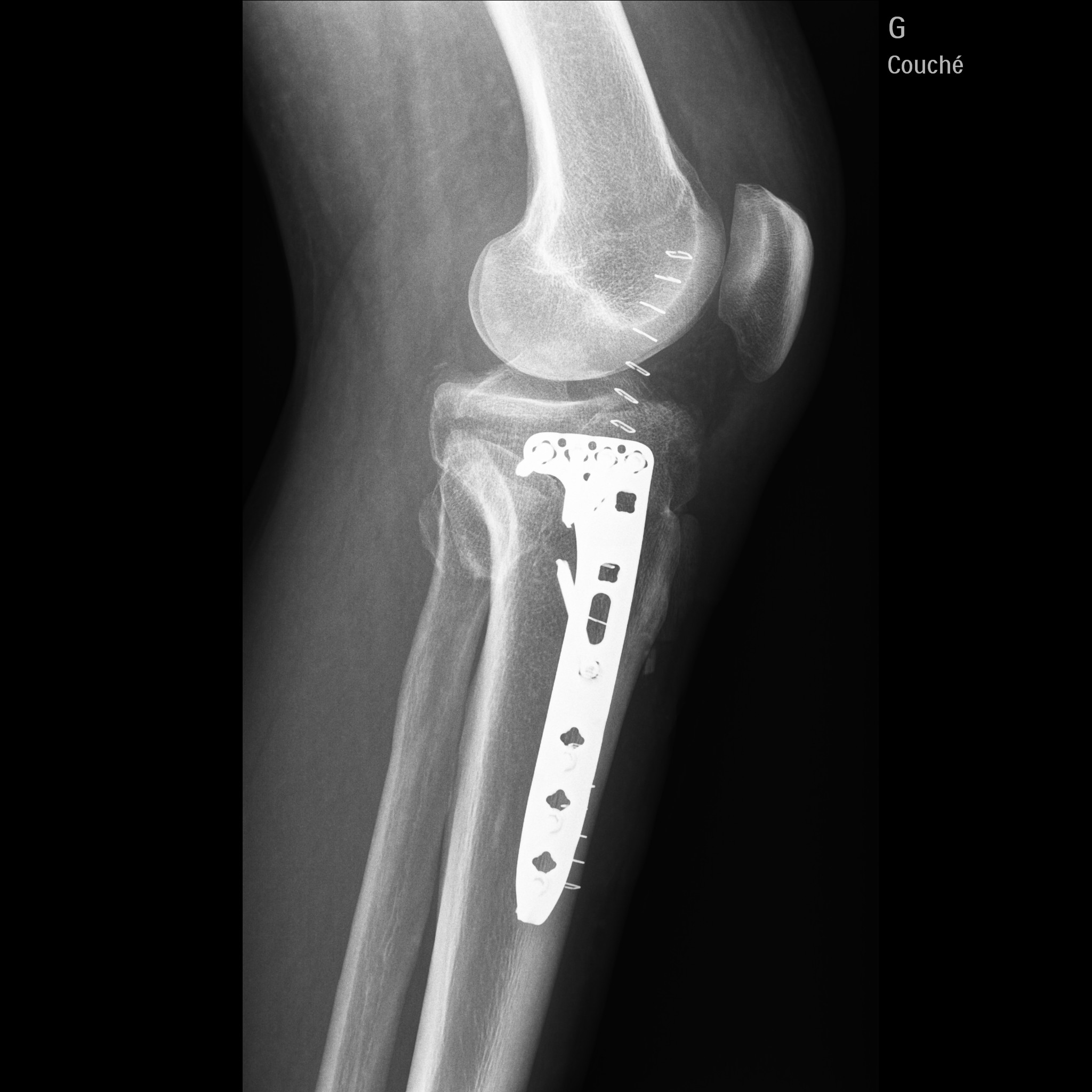
Message par NicoZ120 » 07 Mai 2021, 08:12

Salut

le tracteur est définitivement en pause
j'ai fait une sale chute en moto et j'ai du me faire opéré :( :( :( :(

j'en ai pour 3 mois sans pauser le pied a terre , et 6 mois de rééducation 1 an pour récupéré la totalité de ma jambes

1.3.46.670589.30.39.0.1.622692733605.1619697890621.1-f1.jpeg


mais je reviendrais :wink: :wink:

A+

Nico
Fichiers joints
1.3.46.670589.30.39.0.1.622692733605.1619697890648.1-f1.jpeg
Avatar de l’utilisateur
NicoZ120
l'Horloger...
 
Message(s) : 220
Inscription : 27 Août 2020, 03:39
Localisation : Malmedy Belgique

Re: Ma presentation et restoration de mon fergi TE 18530 de

Message par Fabrice ff30 » 07 Mai 2021, 11:15

Ouillllllleeeeee

repose toi bien, et courage pour les semaines à venir, le plus chiant est de ne pouvoir bouger à sa guise.

tu pourras bricoler un peu pendant la rééducation, ça aidera :wink:
Avatar de l’utilisateur
Fabrice ff30
Wikitractor, le JP du Sud !
 
Message(s) : 5899
Inscription : 18 Avr 2007, 11:57
Localisation : Bdr

Re: Ma presentation et restoration de mon fergi TE 18530 de

Message par patou18 » 07 Mai 2021, 11:35

Bonjour Nico
Sur que là tu en as pour un moment à te remettre.
Tu as dû avoir la trouille de ta vie. Un peu plus haut c'était toute l'articulation qui prenait.
Surtout prends soin de toi, le reste peut bien attendre.
Patrice A+
Avatar de l’utilisateur
patou18
Expert
 
Message(s) : 1807
Inscription : 16 Mai 2017, 14:07
Localisation : Région centre 18

Re: Ma presentation et restoration de mon fergi TE 18530 de

Message par NicoZ120 » 07 Mai 2021, 11:50

Salut

Merci pour vos encouragement
J'ai énormément de chance de ne pas être mort
Je ferais un réglage donc je n'avais pas de casque
La moto en fin mobylette est coupé en deux

Voilà quand on fait le con
J'ai eu beaucoup de chance

A+

Nico
Avatar de l’utilisateur
NicoZ120
l'Horloger...
 
Message(s) : 220
Inscription : 27 Août 2020, 03:39
Localisation : Malmedy Belgique

Re: Ma presentation et restoration de mon fergi TE 18530 de

Message par Massey 37 » 07 Mai 2021, 17:31

Bonjour Nico

Désolé pour ce qui t'ais arrivé. Je ne peux que te souhaiter un bon rétablissement et la récupération de ta mobilité.

Les chirurgiens aussi font de la mécanique et retapent les humains ... c'est de l'humour et souhaitons que tu conserves le moral et dans quelques mois tu pourras certainement faire des bricolages légers.

A bientôt
Massey 37
Expert
 
Message(s) : 853
Inscription : 04 Sep 2015, 19:03

Re: Ma presentation et restoration de mon fergi TE 18530 de

Message par Jodu68 » 07 Mai 2021, 22:21

Bonsoir,

Idem désolé pour ce qui t'es arrivé.
Je te souhaite un bon rétablissement, et bon courage pour la rééducation.

Pour les tracteurs, il n'y a pas de date de péremption lol , cf. mes travaux qui n'avancent pas depuis presque 2 ans...

A+,
Jo
Mes tracteurs : Ford 6710, Hela D532, Renault 7012 et Ferguson FF30DS
Avatar de l’utilisateur
Jodu68
gentleman Farmer
 
Message(s) : 193
Inscription : 09 Mai 2019, 14:26
Localisation : Alsace, Haut-Rhin

Re: Ma presentation et restoration de mon fergi TE 18530 de

Message par bruno tacq » 08 Mai 2021, 06:46

Bonjour,

Courage Nico !
Je te souhaite également un bon rétablissement et de bien récupérer ta mobilité.
Le tracteur peut attendre.
Ma restauration est aussi à l'arrêt depuis un an.
Allé encore courage et profite bien de te faire chouchouter par madame. :)

A bientôt
Bruno :wink:
Avatar de l’utilisateur
bruno tacq
Expert
 
Message(s) : 623
Inscription : 21 Juil 2010, 22:21
Localisation : Sombreffe Belgique

Re: Ma presentation et restoration de mon fergi TE 18530 de

Message par NicoZ120 » 08 Mai 2021, 17:44

Salut

Merci pour votre soutien
Cela fait vachement plaisir

a+

Nico
Avatar de l’utilisateur
NicoZ120
l'Horloger...
 
Message(s) : 220
Inscription : 27 Août 2020, 03:39
Localisation : Malmedy Belgique

Re: Ma presentation et restoration de mon fergi TE 18530 de

Message par webmaster » 09 Mai 2021, 08:17

Ouaouuu....ah oui c est du lourd la. Beau travail de chirurgie...a la hauteur de ce que tu sais faire de ton cote :wink:
Avatar de l’utilisateur
webmaster
Site Admin
 
Message(s) : 1358211
Inscription : 15 Déc 2004, 17:39
Localisation : PARTOUT ;-) Tracteur : ex : TEF20 1957 new : MF 235 1978 & MCormick 326D 1965

Re: Ma presentation et restoration de mon fergi TE 18530 de

Message par Fabrice ff30 » 21 Sep 2021, 21:02

Bonsoir Nico

Un petit message sur ton post en espérant que ton rétablissement se passe bien et te permet à présent d avoir retrouvé ta mobilité

Peut être as tu fait qlqs bricoles?
Avatar de l’utilisateur
Fabrice ff30
Wikitractor, le JP du Sud !
 
Message(s) : 5899
Inscription : 18 Avr 2007, 11:57
Localisation : Bdr

Re: Ma presentation et restoration de mon fergi TE 18530 de

Message par NicoZ120 » 16 Sep 2022, 10:36

Hello tout le monde

Cela va reprendre, ma jambe va mieux :D
cela a pris du temps, faut laisser faire la nature
La culasse est partie pour surfaçage et rectification des sièges de soupapes , et pause de nouveaux guide

A+

Nico
Avatar de l’utilisateur
NicoZ120
l'Horloger...
 
Message(s) : 220
Inscription : 27 Août 2020, 03:39
Localisation : Malmedy Belgique

Re: Ma presentation et restoration de mon fergi TE 18530 de

Message par patou18 » 16 Sep 2022, 13:18

Bonjour Nico
yesss content de ton message de retour après cette année d'absence.
Le plus important cela va mieux pour toi, c'est donc reparti pour la renovation du FERGIE lol
Dans l'attente de nouvelles photos, porte toi bien et à bientôt :)
Patrice A+
Avatar de l’utilisateur
patou18
Expert
 
Message(s) : 1807
Inscription : 16 Mai 2017, 14:07
Localisation : Région centre 18

Re: Ma presentation et restoration de mon fergi TE 18530 de

Message par NicoZ120 » 16 Sep 2022, 16:36

Merci patou18

cela va prendre un certain temps tout de même
j'ai toute les pièce neuve pour le moteur

du moteur je ne garde que la culasse, le bloc, tout sera refait a neuf

A+

Nico
Avatar de l’utilisateur
NicoZ120
l'Horloger...
 
Message(s) : 220
Inscription : 27 Août 2020, 03:39
Localisation : Malmedy Belgique

Re: Ma presentation et restoration de mon fergi TE 18530 de

Message par Fabrice ff30 » 17 Sep 2022, 09:08

Bonjour et bon retour Nico sur les 2 pâtes mdrr
Avatar de l’utilisateur
Fabrice ff30
Wikitractor, le JP du Sud !
 
Message(s) : 5899
Inscription : 18 Avr 2007, 11:57
Localisation : Bdr

Re: Ma presentation et restoration de mon fergi TE 18530 de

Message par Massey 37 » 17 Sep 2022, 13:08

Bonjour Nico,

Content de ton retour et de savoir que ta santé va mieux. Content aussi de te lire à nouveau car ces temps ci il n'y a pas grand chose à moudre sur le forum et je pense que tu vas recréer un peu d'animation avec tes idées au top.

A bientôt.
Massey 37
Expert
 
Message(s) : 853
Inscription : 04 Sep 2015, 19:03

Re: Ma presentation et restoration de mon fergi TE 18530 de

Message par Jodu68 » 20 Sep 2022, 22:56

Bonsoir,

Content de lire que tu t'es rétabli ! Vivement la suite de la restauration :D

A+,
Jo
Mes tracteurs : Ford 6710, Hela D532, Renault 7012 et Ferguson FF30DS
Avatar de l’utilisateur
Jodu68
gentleman Farmer
 
Message(s) : 193
Inscription : 09 Mai 2019, 14:26
Localisation : Alsace, Haut-Rhin

Re: Ma presentation et restoration de mon fergi TE 18530 de

Message par NicoZ120 » 21 Sep 2022, 13:25

Merci les amis

donc voila quelque photos des pièce pour révisé le moteur
tout est en cotes standard, donc comme a la sortie de l'usine

il y en a un un paquet :mrgreen:

tout n'est pas sur les photos

Image

Image

Image

Image

Image

Image

Image

voila pour le moment

A+

Nico
Avatar de l’utilisateur
NicoZ120
l'Horloger...
 
Message(s) : 220
Inscription : 27 Août 2020, 03:39
Localisation : Malmedy Belgique

PrécédentSuivant

Retour vers Les plus belles restaurations ...

Qui est en ligne ?

Utilisateur(s) parcourant ce forum : Aucun utilisateur inscrit et 6 invité(s)